Dental Co. of Knoxville
Dyron Holt DDS

Professional Teeth Whitening

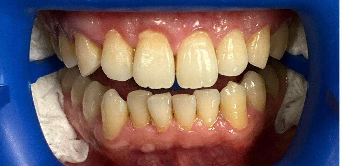
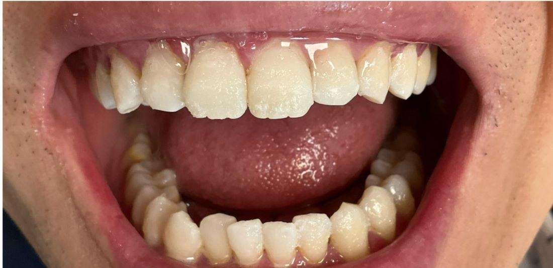
Sometimes, the subtlest improvements are the most transformative. This patient wanted a conservative, affordable option to restore the brightness of their smile and a simple Zoom! in-office teeth whitening was the perfect solution. 

Schedule a Cleaning to Get Started

A professional teeth cleaning is the first step toward your brightest smile! 

 

Related Services:

Teeth Whitening
Not Finding What You Need?
If you have difficulty using our website, please email us or call us at (865) 722-0239
View the ADA Accessibility Statement